什么是颅骨修补术?
颅骨修补术是针对脑外伤及开颅手术等导致颅骨缺损而对其进行修补的一种脑外科常见的手术。
修补原因是什么?
颅脑外伤和脑部手术祛除骨瓣,颅骨良性肿瘤或类肿瘤切除,颅骨慢性骨髓炎等。由于颅骨缺损区形状改变,头皮受大气压的影响,使其内陷压迫脑组织。
颅骨修补术目的
解决缺损去没有对脑组织的有效保护、供血障碍、脑脊液循环异常等问题,还需要解决外形修复整形的问题。
颅骨修补术患者注意哪些事项?
病人常有较重的不安全感等思想负担,且可引起头痛、头晕、怕振动等综合征。颅骨缺损的时间愈长,颅骨缺损综合征及继发性脑损害的发生率愈高。为了恢复颅腔的密闭性,保持生理性颅内压稳定,减轻颅骨缺损综合征。对颅骨缺损直接在3厘米以上,无肌肉覆盖,无禁忌症者都应行颅骨修补。一般认为开颅术后3~6个月修补为宜;儿童则3~5岁后即可做成形手术。
那么,清华大学颅骨修补整形美容标准化手术有哪些特色?
清华大学玉泉医院颅骨修补整形美容标准化手术总结如下10个特色:
首先,出血少是其关键特色,且一般不输血;
其次,修复外形完美:达到美容效果。其“预制骨槽”、“无缝连接”、“无凸起锚定”、“周缘高速磨钻平滑抛光”等新一代精细手术技术,特别适合前额部无头发遮盖部位。头颅颞肌标记CT后3D颅肌打印重建整形技术,彻底解决常见的术后颞部凹陷。微整形使用新型整形注射剂型材料。
三、归类为神经外科精细手术:头皮瘢痕小、无异物感。术后配合医学整形美容中心最大程度去除头部瘢痕,联合治疗达到不仅治愈且优化美容的效果;
四、感染率低:术前2-3天严格的皮肤无菌准备流程,术中新型高端层流手术室,术区最严格的无菌化操作流程质控(所有患者均做术区液体致病菌检测),术后精确处理切口。


五、并发症少:皮下积液、排斥等并发症发生率低。可减少头皮与传统钛网之间,因多孔隙瘢痕强力附着长入,所致的头皮正常状态时的一定的移动度变差的缺点,维护头皮健康状态。
六、活化率高:(1)植入的清华仿生骨(人工骨),最终被病人自体骨替代率最高。正常人颅骨不同区域是厚薄不一,清华仿生骨能够完美重建正常厚薄颅骨区域,更好保证人脑将来对外力的保护。(2)“骨膜/骨泥-高级三维钛网延伸固定-骨膜三明治”新手术,复合修补材料具有更可靠的强度和韧性,对儿童和成人提供最佳脑保护;同时,随着材料病人自体骨化钙化,形成良好的对外界热、冷、辐射等的厚保护层,最大程度减少恶劣环境对大脑的损伤。
七、适应症广:适合青少年及成年人患者;适合各个部位和各种类型颅骨缺损。
八、手术时间短:平均2-4个小时。
九、修复材料和固定方法“超市化”最全:最佳3D打印仿生骨(矿化胶原)、聚醚醚酮材料(PEEK)、多种三维钛网、各种钛钉、颅骨锁、双10#线特殊固定打结、人工硬脑膜、人工骨膜、骨缝高级生物活性填充材料(人工骨泥),“骨膜-颅骨外板-板障-颅骨内板-硬脑膜”精准修补重建,选择最优。

10.可以根据病人经济等情况,制定个性化最优手术方案。颅骨修补手术联合运动-感觉-语言-意识-脑神经功能修复手术,达到最大程度的“头部多层解剖结构-生理内环境-颅脑功能“全面修复。
清华仿生骨植入后,在人颅骨缺损处成功生长中:

常用的颅骨修补材料--钛网,兼容性不佳,可能发生排斥反应:

附:典型病例
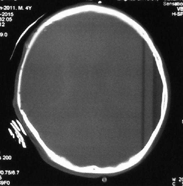
病例一:刘某某,男,4岁。额顶颅骨缺损,修补材料:清华仿生骨。

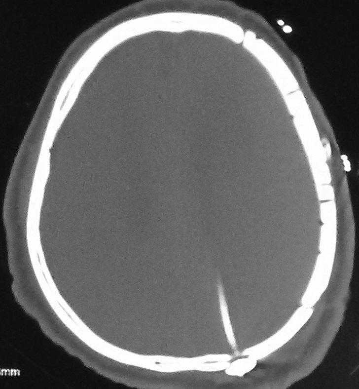
病例二:汪某某,男,49岁。修补材料:钛网。(患者家庭经济有限)

病例三:邴某某,男,21岁。修补材料:清华仿生骨。

病例四:李某某,男,11岁。江西人。修补材料:清华3D打印仿生骨。


巨大颅骨缺损治愈出院:


其他图片:看图请注意,清华大学人工骨(仿生骨)材料与患者自身的颅骨相比较,具有“等厚”,“密度相当”,“美容塑形优秀”等突出优点:

无缝隙人工骨精确植入:


免责声明:本文章如果文章侵权,请联系我们处理,本站仅提供信息存储空间服务如因作品内容、版权和其他问题请于本站联系